mri

PET/MRI

The Power of 7-Tesla


MRS-7000, from MR Solutions, is a 7T MRI system with a bore size of 24cm. The system is specifically designed for in-vivo rodents molecular imaging studies. MR Solutions MRIs are based on the revolutionary and advanced cryogen-free superconducting magnet technology. It is accessorized with a simultaneous PET module.
The new MRI-PET™ small-animal imaging system integrates a 7.0T cryogen-free superconducting magnet with silicon photomultiplier (SiPM) photosensor PET technology that allows for high spatial resolution and high sensitivity to be achieved simultaneously.
mri_brain
Mouse brain - Coronal plan
mri_liver
Mouse liver tumor
mri_fish
Killifish femal eggs
mri_embryo
Mouse embryo - 'Says Hi'
This is a major breakthrough in high performance functional imaging technology for biomedical research. The dual-layer LYSO modules on the MRS-PET™ have a combined thickness of 10 mm, providing excellent stopping power and uncompromised resolution across the entire Field-Of-View (FOV). This allows for depth-of-interaction (DOI) identification with improved radial resolution uniformity in an unprecedented compact footprint.

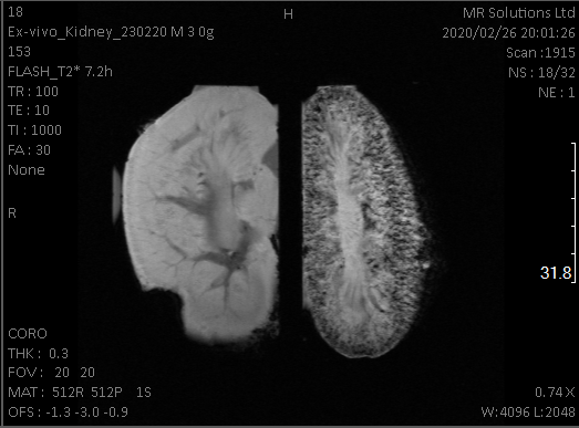
mri_kidneys
Kidneys - without & with ferritin

The PET Technology


FDG distribution
PET images living systems by recording high-energy γ-rays emitted from within the subject. The source of the radiation comes from positron-emitting-bound biological molecules, such as 18F-FDG (fludeoxyglucose), which is injected into the test subject. As the radioisotopes decay, they emit positrons which annihilates with electrons found naturally in the body. This produces 2 γ-rays at ~180° apart, which are picked up by sensors on opposite ends of the PET machine. This allows individual emission events to be localized within the body, and the data set is reconstructed to produce images.

The MRS-7000 system allows simultaneous PET/MR imaging, and can image whole body mouse and rat heads.

The 3D Reconstitution


The MRS-7000 has the technology to acquire an MRI scan in 3D, which allows whole animal anatomy exploration, and examination of each organ accurately, at hi-resolution.